Home
سپورٹس
اُردوخبریں
پاکستان نیوز
شوبز نیوز
عجیب و غریب خبریں
عجیب و غریب خبریں
لطائف
کلاسیفائیدز
کہانیاں
آپ کا دن
دن کیسے گُزرے گا
مہینہ کیسے گُزرے گا
اپنے ستارے کے بارے میںجانئی
مشہور پتھر اور خصوصیات
خواتین کارنر
بیوٹی ٹپس
صحت کا خیال
بچوں کی نگداشت
کھاناپکانے کی تراکیب
گھریلوٹوٹکے
اسلام
شاعری
محبت بھری شاعری
غمگین شاعری
مزاحیہ شاعری
نعت شریف
صوفی کلام
Home
/
Women
/
in Urdu
/
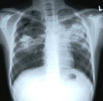
Causes Symptoms And Precautions Of Tuberculosis Formally Called T.b
پی ایس ایل11: ملتان سلطانز کا ٹاس جیت کر کوئٹہ گلیڈی ایٹرز کیخلاف فیلڈنگ کا فیصلہ => پی ایس ایل 11 میں شریک مسیحی کھلاڑی اور آفیشلز نے مذہبی تہوار ایسٹر جوش وخروش سے منایا => یو اے ای سے تعلق رکھنے والے کراچی کنگز کے دو کھلاڑی وطن واپس طلب => عظمیٰ بخاری سے سری لنکا کے اعزازی قونصل کی ملاقات، مختلف شعبوں میں تعاون بڑھانے پر تبادلہ خیال => پشاور: معروف سرجن ڈاکٹر آصف ملک پر قاتلانہ حملے میں ملوث گینگ گرفتار => پشاور: پاکستان تحریک انصاف نے سینیٹ کے ضمنی الیکشن کے لیے 9 رکنی پارلیمانی بورڈ تشکیل دے دیا => کراچی: درخشاں پولیس کا فحش ڈانس پارٹی پر چھاپہ، 21 مرد و خواتین گرفتار => لاہور: تیز رفتار کار کی ٹکر سے خاتون سمیت تین افراد زخمی ہو گئے => سوات: کالام آنے والے سیاحوں سے نکاح نامہ طلب کرنے والے پولیس اہلکار معطل => ضلع خیبر: حالیہ موسلادھار بارشوں نے تباہی مچا دی، مختلف حادثات میں 6 افراد جاں بحق جبکہ 16 زخمی => پاکستان انٹرنیشنل ایئرلائنز نے مہنگے جیٹ فیول کے باعث تمام رعایتیں ختم کر دیں => ضلع باجوڑ: وزیر اعلیٰ خیبرپختونخوا کی قومی امن جرگہ کے قائدین سے ملاقات => کراچی: ڈی ایس پی قائد آباد کے دفتر کی چھت کا ایک حصہ گر گیا، جانی نقصان نہیں ہوا => انگلش کاؤنٹی کرکٹ میں پہلی بار انجری متبادل کا استعمال => تمام ادارے اپنی حدود میں رہ کر کام کریں تو کوئی مسئلہ نہ رہے، سہیل آفریدی => بنگلا دیش نے بھارتی بورڈ کو منانے کی کوششیں تیز کر دیں => کراچی: اسٹار گیٹ کے قریب نامعلوم گاڑی کی ٹکر سے موٹر سائیکل سوار جاں بحق => شمالی وزیرستان: غلام خان سیکٹر میں سرحد پار سے دہشت گردوں کا حملہ ناکام، 37 ہلاک اور 81 زخمی => لاہور سیشن کورٹ فائرنگ کیس کا معاون ملزم بھی گرفتار => کراچی: پیٹرولیم مصنوعات کی قیمتوں میں اضافے،مہنگائی کیخلاف احتجاج، متعدد پی ٹی آئی کارکن زیر حراست => سابق وزیر اعلیٰ عثمان بزدار کے دور میں محکمہ آبپاشی میں سینکڑوں بوگس ملازمین کی بھرتی کا انکشاف => کراچی: پولیس، ڈاکوؤں کے درمیان فائرنگ کے تبادلے میں مبینہ ڈاکوہلاک، دوسرا گرفتار => بال ٹیمپرنگ معاملے پر فخر زمان کا عدالت جانے کا فیصلہ ذاتی ہے، منیجر لاہور قلندرز => کراچی؛ یو اے ای میں جبری جسم فروشی کا شکار ہونے والی خاتون کو ریسکیو کرلیا گیا => کراچی: شادی کی تقریب میں ہوائی فائرنگ سے نوجوان جاں بحق، خاتون زخمی، مقدمہ درج => پاکستان ویمنز فٹبال ٹیم تاریخ میں پہلی بار فیفا سیریز کھیلنے کل آئیوری کوسٹ روانہ ہوگی => آپریشن سندور میں ذلت آمیز شکست کے بعد بھارت کا ایک اور فالس فلیگ ڈرامہ بے نقاب => پاکستان کے کہنے پر سعودی عرب نے ایران کو کوئی جواب نہیں دیا، طاہر اشرفی => ایران کا 4 امریکی طیارے اور ہیلی کاپٹر تباہ کرنے کا دعویٰ => عراق میں مزاحمتی گروپ کا امریکی اڈوں کیخلاف 19 آپریشنز کرنے کا دعویٰ => کراچی: جج کو دھمکی آمیز خط ملنے کے واقعے کی تحقیقات کیلئے 4 رکنی ٹیم تشکیل => متحدہ عرب امارات ایران کیخلاف جنگ میں شامل ہوگیا ہے، ایرانی میڈیا => پشاور سے تعلق رکھنے والی علی سسٹرز نے ایک مرتبہ پھر پاکستان کا نام فخر سے بلند کردیا => ایران جنگ کا 37واں دن: امریکی پائلٹ ڈرامائی آپریشن میں بازیاب، آبنائے ہرمز پر ٹرمپ کی ڈیڈ لائن مسترد => وفاقی وزیر داخلہ کی رائیونڈ میں عالمی تبلیغی مرکز آمد، بھارت اور بنگلہ دیش سے آئے اکابرین سے ملاقات => خیبر پختونخوا میں شدید بارشیں، گھروں کی چھتیں اور دیواریں گرنے سے جاں بحق افراد کی تعداد 45ہوگئی => آذربائیجان نے ایران کیلئے 200 ٹن انسانی امداد روانہ کردی => خیبر پختونخوا میں پیٹرول سبسڈی کیلیے احساس فیول سپورٹ اسکیم کا آغاز => ایرانی حملوں کے نقصانات چھپانے کی کوشش، امریکی کمپنی نے سیٹلائٹ تصاویر پر مکمل پابندی لگادی => ٹرمپ کی ایران کو 48 گھنٹے کی دھمکی پر عالمی ردعمل، البرادعی نے دنیا کو خبردار کر دیا => بنگلا دیشی ٹیم کے مہدی حسن ون ڈے اور لٹن داس ٹی 20کپتان برقرار => بنگلہ دیش کرکٹ بورڈ میں ایک ہی روز میں مزید تین ڈائریکٹرز مستعفی => وزیرِ اعظم کی زیر صدارت پیٹرولیم مصنوعات پر حکومتی سبسڈی کے نفاذ سے متعلق اہم اجلاس => مری: لینڈ سلائیڈنگ کے باعث صورتحال سنگین، عوام کی ہنگامی نقل مکانی شروع => کراچی میں ایک بار پھر گرج چمک کے ساتھ بارش کا امکان، الرٹ جاری => جنوبی ایران میں امریکی اسرائیلی حملہ، دو تجارتی بحری جہازوں میں آگ بھڑک اُٹھی => صوبے کے ہر غریب شہری تک پیٹرول اور پبلک ٹرانسپورٹ کی سبسڈی فراہم کی جائے گی، وزیر اعلیٰ سندھ => ایران کی عراقی جہازوں کو آبنائے ہرمز سے گزرنے کی مکمل اجازت، باقی دنیا کے لیے پابندیاں برقرار => پاکستان کی ڈیجیٹل معیشت میں نمایاں پیشرفت، 1 ارب ڈالر کی سرمایہ کاری کا منصوبہ پیش => امریکی-اسرائیلی حملے کا خطرہ، ایرانی جوہری پلانٹ سے روس ورکرز کو انخلا کی ہدایت =>
صحت کا خیال
«
97
98
99
100
101
»
Causes Symptoms And Precautions Of Tuberculosis Formally Called T.b
‹
›
مزید مضامین پڑھیے !
مردوں کےلیےادرک کےفوائد
ادویات کے ساتھ ساتھ ادرک کا استعمال مردوں کی جنسی خواحشات کو بڑھاسکتا ہے
سردیوں میں وزن میں کمی
مشروبات کو اپنے معمولات میں شامل کرنا اس موسم میں فائدہ مند ثابت ہو سکتا ہے
ہائی کولیسٹرول اور ہائی بلڈ پریشر
55 سال کی عمر سے پہلے ہائی کولیسٹرول اور ہائی بلڈ پریشر بعد میں دل کی بیماری کا باعث بن سکتا ہے۔
Advertisement
Popular Categories
آن لائن گیمز
لطائف
کلاسیفائیدز
کہانیاں
آپ کا دن
دن کیسے گُزرے گا
مہینہ کیسے گُزرے گا
خواتین کارنر
اسلام
شاعری