Home
سپورٹس
اُردوخبریں
پاکستان نیوز
شوبز نیوز
عجیب و غریب خبریں
عجیب و غریب خبریں
لطائف
کلاسیفائیدز
کہانیاں
آپ کا دن
دن کیسے گُزرے گا
مہینہ کیسے گُزرے گا
اپنے ستارے کے بارے میںجانئی
مشہور پتھر اور خصوصیات
خواتین کارنر
بیوٹی ٹپس
صحت کا خیال
بچوں کی نگداشت
کھاناپکانے کی تراکیب
گھریلوٹوٹکے
اسلام
شاعری
محبت بھری شاعری
غمگین شاعری
مزاحیہ شاعری
نعت شریف
صوفی کلام
Home
/
Women
/
in Urdu
/
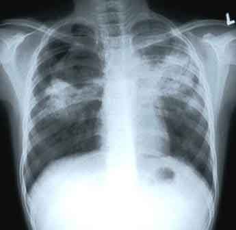
295 People Of Every 100 Thousand Pakistanis Are Sick With Tuberculosis Or Tb Disease
سوشل میڈیا پر ’’امریکن بھابھی‘‘ کے پھر سے چرچے، امریکی خاتون شوہر سے ملنے پاکستان آگئی => نیوزی لینڈ نے بھارتی سرزمین پر نئی تاریخ رقم کر دی => سپریم لیڈر پر کسی قسم کا حملہ اعلان جنگ تصور ہوگا، ایرانی صدر => جنید صفدر کا ولیمہ، مریم نواز کی تصاویر وائرل => کرک؛ گھریلو ناچاقی پر اپنے ہی اہلخانہ پر فائرنگ، کمسن بچیوں اور خواتین سمیت 7 افراد جاں بحق => گل پلازہ آمد پر لوگوں کی میئر کراچی کے خلاف نعرے بازی => تاجروں کا سانحہ گل پلازہ پر سوگ کا اعلان => انڈر 19 ورلڈ کپ میں افغانستان نے ویسٹ انڈیز کو شکست دے دی => سخاکوٹ، شوہر کو قتل کر کے لاش گھر میں دفنانے والی بیوی گرفتار => گل پلازہ کا 40 فیصد حصہ منہدم، شاپنگ کیلئے مشہور عمارت کی دردناک کہانی => راولپنڈی؛روحانی شخصیت کے بیٹےکی گاڑی پر مسلح افراد کی فائرنگ، ایک شخص جاں بحق دو زخمی => ڈی آئی خان میں سیکیورٹی آپریشن، ٹی ٹی پی گنڈاپور کا دہشت گرد ہلاک => فافن نے سندھ کے سرکاری محکموں میں شفافیت کی کمی عیاں کردی => بنوں میں نامعلوم افراد کی فائرنگ سے پولیس اہلکار گھر کے سامنے شہید => بنگلا دیش کے سخت موقف پر پاکستان کو بھی ورلڈ کپ منصوبوں پر نظرِ ثانی کرنا پڑ گئی => کراچی ایئرپورٹ پر جعلی ایگزیٹ اسٹیمپ کے حامل مسافر کو آف لوڈ کر دیا گیا => عوامی مینڈیٹ چھینے والوں کے خلاف آرٹیکل 6 لگایا جائے، تحریک تحفظ آئین پاکستان کا مطالبہ => پاکستان ایئرپورٹس اتھارٹی نے گل پلازہ کی آگ پر قابو پانے کیلیے فائر فائٹنگ ٹینڈر فراہم کیا => کے-الیکٹرک نے 5 سال میں 600 ارب سے زیادہ سبسڈی لی، اویس لغاری => آتشزدگی کے باوجود گل پلازہ کی چھت پر موجود گاڑیاں اور موٹر سائیکلیں محفوظ => کراچی میں آگ پر قابو نہیں پاسکتے تو اندرون سندھ کے کیا حالات ہوں گے، مفتاح اسماعیل => بنوں: نجی کمپنی کے کیمپ پر نامعلوم افراد کا حملہ، تمام کنسٹرکشن کی مشینری جلا دی => پشاور: سیکیورٹی فورسز کی مشترکہ انٹیلیجنس بیسڈ کارروائی، ایک دہشتگرد ہلاک => باجوڑ میں ارکان اسمبلی اور عمائدین کا جرگہ، صوبے میں قیام امن کے لیے وزیراعلیٰ کا ساتھ دینے کا اعلان => راجن پور پولیس کی کچہ کریمنلز کیخلاف بڑی کامیابی، 11 انتہائی مطلوب ڈاکو سرنڈر => امریکی صدر ڈونلڈ ٹرمپ نے وزیراعظم کو غزہ امن بورڈ میں شمولیت کی دعوت دے دی => خیبر پختونخوا کے مختلف اضلاع میں بارش اور پہاڑوں پر برفباری کا امکان => چیک جونیئر اسکواش ٹورنامنٹ: پاکستانی کھلاڑی مہوش علی حریف کھلاڑی سے ٹکرا کر شدید زخمی => پشاور؛ زنانہ کپڑوں میں ملبوس موبائل اسنیچر خواجہ سرا گرفتار => ایف آئی اے کی کارروائی، ویزا فراڈ اور مائیگرنٹ اسمگلنگ میں ملوث 4 ملزمان گرفتار => کراچی: گل پلازہ میں آتشزدگی کے بعد متعدد افراد تاحال لاپتا، اہل خانہ پریشان => کاہنہ میں تیس لاکھ روپے واپس مانگنے پر سفاک ملزم نے باپ اور دو بیٹوں کو گھر میں گھس کر قتل کردیا => الیکشن کمیشن نے خیبر پختونخواہ میں نئے بلدیاتی انتخابات کی تیاریاں شروع کردیں => جنید صفدر کے ولیمے میں فیلڈ مارشل کی بھی شرکت؛ تصاویر اور ویڈیوز سامنے آگئیں => ایران کے فسادات کے پیچھے کون؟ کولمبیا یونیورسٹی کے پروفیسر کا چونکا دینے والا انکشاف => آئی سی سی کی مداخلت پر بھارت نے دیگر ٹیموں میں شامل پاکستانی کھلاڑیوں کے ویزے جاری کرنا شروع کردیے => گل پلازہ آتشزدگی؛ وزیراعلیٰ سندھ کا کمشنر کو وجوہات معلوم کرکے تفصیلی رپورٹ پیش کرنیکا حکم => حنا آفریدی نے تیمور اکبر سے نکاح پر ماہانہ 5 لاکھ خرچ کی ڈیمانڈ کردی => غزہ بورڈ آف پیس پر اسرائیل کا سخت ردعمل، ٹرمپ منصوبہ مسترد کردیا => آتشزدگی سے گل پلازہ کی عمارت منہدم، ویڈیو سامنے آگئی => گووندا اور میرے درمیان طلاق نہیں ہوئی، ہم اب بھی ساتھ رہتے ہیں، سنیتا آہوجا => خطے میں بھارت کی گرفت ڈھیلی، ہمسایہ ممالک نے نئی سفارتی راہیں تلاش کرلیں => غزہ کے امن پر قیمت؟ ٹرمپ کا ’بورڈ آف پیس‘ کی رکنیت فروخت کرنے کا منصوبہ => بگ بیش: سست ترین بیٹرز میں رضوان اور بابرکی ٹاپ 2 پوزیشنز => پاکستان میں شعبان کے چاند کی رویت سے متعلق نئی پیشگوئی => اے آر رحمان نفرت میں اندھے ہو چکے ہیں، کنگنا رناوت => مودی حکومت کے شائننگ انڈیا دعوے عالمی تجزیے میں بے نقاب => لاہور؛ گھریلو جھگڑے پر خاتون کی زہریلی گولیاں کھا کر خودکشی => اوکاڑہ : 18 سالہ نوجوان کے ساتھ اجتماعی زیادتی ، مقدمہ درج => افغان مہاجر یا سیکیورٹی خطرہ؟ یورپ میں خطرے کی گھنٹی بج گئی =>
صحت کا خیال
«
54
55
56
57
58
»
295 People Of Every 100 Thousand Pakistanis Are Sick With Tuberculosis Or Tb Disease
‹
›
مزید مضامین پڑھیے !
مردوں کےلیےادرک کےفوائد
ادویات کے ساتھ ساتھ ادرک کا استعمال مردوں کی جنسی خواحشات کو بڑھاسکتا ہے
سردیوں میں وزن میں کمی
مشروبات کو اپنے معمولات میں شامل کرنا اس موسم میں فائدہ مند ثابت ہو سکتا ہے
ہائی کولیسٹرول اور ہائی بلڈ پریشر
55 سال کی عمر سے پہلے ہائی کولیسٹرول اور ہائی بلڈ پریشر بعد میں دل کی بیماری کا باعث بن سکتا ہے۔
Advertisement
Popular Categories
آن لائن گیمز
لطائف
کلاسیفائیدز
کہانیاں
آپ کا دن
دن کیسے گُزرے گا
مہینہ کیسے گُزرے گا
خواتین کارنر
اسلام
شاعری